ROMA (ITALPRESS) – Gli ultrasuoni focalizzati sono una procedura terapeutica che focalizza i fasci di energia ultrasonica in modo preciso su obiettivi in profondità sui tessuti, senza danneggiare le aree sane. Il principio dei Focused Ultrasound è analogo all’uso di una lente di ingrandimento per concentrare i raggi di luce solare su un singolo punto per bruciare una foglia. Al posto della lente di ingrandimento, però, si utilizza una lente acustica, in modo da convogliare più fasci di ultrasuoni intersecanti su un bersaglio in profondità nel corpo. Attualmente in fase di studio, i Focused Ultrasound hanno suscitato molto interesse in ambito oncologico, e soprattutto per i tumori cerebrali, in quanto trattamento non invasivo potenzialmente in grado di migliorare la qualità della vita dei pazienti e di diminuire il costo delle cure. Sono questi alcuni dei temi trattati da Francesco DiMeco, professore ordinario di neurochirurgia dell’Università degli Studi di Milano, direttore della scuola di specializzazione in neurochirurgia e direttore del dipartimento di neurochirurgia presso l’Istituto neurologico Carlo Besta di Milano, intervistato da Marco Klinger, per Medicina Top, format tv dell’agenzia di stampa Italpress. 
“Quella degli ultrasuoni focalizzati è una metodologia che permette di sfruttare dell’energia pulita, che sono gli ultrasuoni, per raggiungere bersagli profondi nel cervello – ha esordito il professore – Tutto questo senza fare tagli, non aprendo la scatola cranica e quant’altro. C’è una grandissima differenza, perchè fino a ora le procedure erano molto invasive, oppure quelle poco invasive, come la radioterapia, hanno effetti collaterali importanti”. 
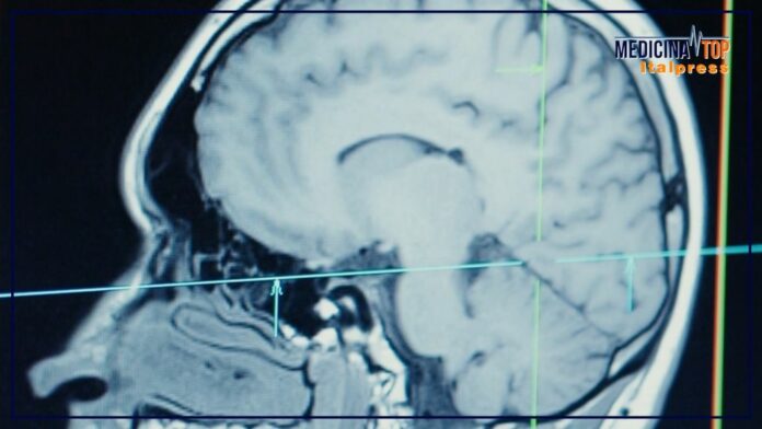
La terapia con gli ultrasuoni focalizzati è altamente tecnologica: “Al Besta, grazie alla generosità di una nostra donatrice, abbiamo potuto comprare qualcosa di tecnologicamente avanzato come la macchina per gli ultrasuoni focalizzati. Sono riuscito ad acquisirla e installarla in una sala operatoria altamente tecnologica – ha raccontato – La risonanza magnetica resta fondamentale e va accoppiata ai Focused Ultrasound, in modo tale che in tempo reale possiamo seguire quello che stiamo facendo. Individuiamo un bersaglio e procediamo con gli ultrasuoni focalizzati, con estrema precisione. Facciamo una lesione reversibile, poi il paziente viene tirato fuori dalla risonanza magnetica, verifichiamo se quanto fatto ha funzionato per risolvere il suo problema, come per esempio potrebbe essere un tremore, rimettiamo il paziente nella risonanza magnetica e a quel punto procediamo con la lesione permanente”, ha aggiunto DiMeco.
“Con l’uso della tecnologia, mappiamo il cervello e sappiamo in che punto della risonanza ci troviamo, in che area bersagliare e in quali non bersagliare”. Fondamentale nel campo della neurochirurgia, ha spiegato DiMeco, la possibilità di simulare virtualmente gli interventi per far pratica in vista delle operazioni sui pazienti in carne e ossa: “Con l’avanzare dei software, dell’imaging tecnologicamente avanzato, abbiamo anche la possibilità di riprodurre virtualmente delle situazioni chirurgiche. Questo ci permette anche di creare dei simulatori, strumenti con cui avvertiamo la resistenza offerta dal cervello o da un eventuale tumore, fatto che ci permette di esercitarsi virtualmente senza fare dei danni – ha sottolineato – L’alternativa è continuare a esercitarsi sul cadavere, o con l’apprendistato. Meglio invece piazzare virtualmente mille cateteri e poi andare a farlo, che andare per la prima volta a farlo su un paziente”. 
Infine, sull’esperienza internazionale nel dipartimento di Neurochirurgia della Johns Hopkins Medical School di Baltimora: “Per me è stato uno step fondamentale nella mia carriera. Quello che ho imparato in America è stato molto importante – ha concluso DiMeco – Sono bastati pochi anni per dare un twist alla mia carriera”.
– foto tratta da video Medicina Top –
(ITALPRESS).









