Archivi Giornalieri: 15 Aprile 2024
12 fiorettiste azzurre in gara in Coppa del Mondo a Tbilisi
Le ragazze del ct Cerioni vanno a caccia dei migliori piazzamenti possibili nel ranking
Pecoraro “Giornata del Made in Italy sia anche festa dell’ortofrutta”
ROMA (ITALPRESS) - “La scelta del compleanno di Leonardo da Vinci per la giornata del made in Italy impone di ricordare che il genio...
Djokovic sempre leader del ranking Atp, Sinner al 2° posto
Il serbo comanda la classifica mondiale, risale Tsitsipas, Napolitano mai cosi' in alto
Violenza sessuale su una turista, arrestati due palermitani
PALERMO (ITALPRESS) - I Carabinieri del Nucleo Operativo Palermo Piazza Verdi hanno eseguito un'ordinanza di custodia cautelare in carcere nei confronti di due palermitani,...
Estorsioni e droga, 11 misure cautelari nel Napoletano
NAPOLI (ITALPRESS) - Gli agenti della Polizia di Stato hanno eseguito misure cautelari nei confronti di undici persone ritenute gravemente indiziate, a vario titolo,...
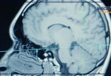
Ultrasuoni focalizzati, alta tecnologia al servizio della neurochirurgia
ROMA (ITALPRESS) - Gli ultrasuoni focalizzati sono una procedura terapeutica che focalizza i fasci di energia ultrasonica in modo preciso su obiettivi in profondità...






